Mako Total Hip

Elevating total hip procedures 

For over 15 years, Mako Total Hip has been elevated total hip procedures for patients and surgeons. With the introduction of Mako Total Hip with Advanced Primary and Revision, we’re truly revolutionizing robotic hip replacements. 

 

Imagine using the knowledge that comes from a CT-based plan that allows you to capture each patient’s unique anatomy for primary and revision hip procedures. Pair this with Mako’s AccuStop™ haptic technology, which has been shown to help surgeons precisely and accurately single-stage ream what they’ve planned during Mako primary total hip procedures.1

Mako Total Hip System photo

Mako Total Hip

Mako Total Hip System photo

Elevating total hip procedures 


For over 15 years, Mako Total Hip has been elevated total hip procedures for patients and surgeons. With the introduction of Mako Total Hip with Advanced Primary and Revision, we’re truly revolutionizing robotic hip replacements. 

 

Imagine using the knowledge that comes from a CT-based plan that allows you to capture each patient’s unique anatomy for primary and revision hip procedures. Pair this with Mako’s AccuStop™ haptic technology, which has been shown to help surgeons precisely and accurately single-stage ream what they’ve planned during Mako primary total hip procedures.1 

Introducing Mako Total Hip with Advanced Primary and Revision

With more planning features, more intraoperative capabilities and more implant options, Mako Total Hip with Advanced Primary and Revision is designed for you to know even more with confidence from primary to revision.

Built on Mako’s trusted3D CT-based planning and AccuStop™ haptic technology, Mako Total Hip with expanded capabilities is revolutionizing robotic hip replacements. 

Mako Total Hip with Advanced Primary and Revision is the first-to-market robotically-enabled revision hip solution. In a single application, Mako Total Hip now serves primary, complex primary and revision indications with advanced planning features like screw and augment planning, plus stem planning, which is now compatible with Restoration® Modular. Additional intraoperative features include bone mapping, cup clocking and more. 

A simplified hip experience is here.

Mako Total Hip set image

Only on Mako 4    

Mako Total Hip with Advanced Primary and Revision is only available on the Mako 4 System. 

  

More to Mako Total Hip

From primary to revision

Simplify your hip procedures with Mako Total Hip with Advanced Primary and Revision. 

Know more with 3D CT-based planning in some of your most challenging cases.

Restoration modular femoral hip stem planning

Restoration® Modular femoral hip stem planning 

Plan for Restoration Modular, including showing/ hiding cone body in stem mode, hiding primary implants in 2D or 3D views and view outline cross section. 

Acetabular cup planning

Acetabular cup planning now featuring RAS 

Plan for Restoration Anatomic Shell (RAS) or Trident® II multihole acetabular shells. Additional features include hiding primary implants in 2D or 3D views, view outline cross section and show planned bone resection in 3D views. 

Augment planning

Augment planning

Users have the ability to plan the size, thickness, position and orientation of the augment. The software’s “Lock To Cup” feature is an optional planning feature that can be used to help ensure that the surgeon’s desired distance between the planned cup and planned augment remains constant during implant planning. 

screw planning

Screw planning 

Screw planning is designed to help optimize screw hole location and maximize screw length. When calculated, the screw length value given is an estimated value from the screw head to where the screw exits the bone in the central direction of the screw hole. 

Know more intraoperatively with capabilities like bone mapping, augment reaming and screw trajectory.

Execute your plan for primary and revision hip replacement using Mako’s proprietary AccuStop™ haptic technology.   

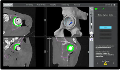
bone mapping

Bone mapping

After removal of the primary cup, it is recommended to map the bone’s surface in the acetabulum for review within implant planning. 

screw trajectory

Screw trajectory and depth guidance

Screw trajectory and depth guidance provide the estimated screw length calculated based on the orientation of the screw hole or probe. 

augment and cup reaming

Robotic-arm assisted augment and cup reaming 

Enabled by AccuStop™ haptic technology, robotic-arm assisted reaming is available for both augment and cup. 

An extended reaming angle can be used to ream in an orientation with a 30-degree cone in primary and revision cases. 


Mako Total Hip

For primary hip replacement

Mako robotic-arm

The unique features of Mako Total Hip SmartRobotics™ are designed to help you optimize component positioning,1 enhance functional outcomes6 and elevate surgical experience.4,5

Know more.1

It all starts with a CT scan that creates a 3D image of your patient’s unique anatomy. Plan the sizing and positioning of implants, as well as incorporate Functional Hip Positioning™ to help you optimize component positioning.

 

  • CT-based platform designed to help optimize implant size and placement1
  • Plan implant center of rotation
  • Incorporate pelvic tilt analysis to understand the hip/spine relationship
  • Visualize and address potential impingement pre-operatively
  • Guided neck-resection tool
  • Hip length and offset feedback

Ream less.2

With the use of AccuStop™ haptic technology, studies have demonstrated greater bone preservation,2 reduced blood loss6 and greater ability to reproduce hip biomechanics3,7-10 versus manual technique. 

 

  • Ability to single stage ream
  • Ream constrained to planned center of rotation
  • Audible, visual and tactile feedback while guided reaming
  • Accurate bone preparation to plan18
  • Use of AccuStop™ haptic technology to help impact cup at the desired inclination and version3,6,8,11,12

Mako Total Hip with Direct Anterior 

For primary hip replacement

When it comes to the Direct Anterior (DA) Approach, where the field of view may be obscured and the use of fluoroscopy may be misleading, knowing more about a patient’s unique anatomy can make a difference.13,14

Purple checkmark-ext

Accurate and reproducible implant placement18

Blue checkmark-ext

Enhanced surgeon experience4

Orange checkmark-ext

Reduce, if not eliminate, fluoroscopy

 

 

Learn how to reduce, if not eliminate, fluoroscopy in your OR with Mako Total Hip and Direct Anterior Reconstructive technology (DART™).

  

Clinical success of Mako Total Hip

Based on 15 years of clinical data in primary total hip replacements

Improved patient
outcomes

Studies have shown that Mako Total Hip patients are significantly less likely to be aware of their hip in daily circumstances compared to manual patients.6,9

Less surgeon mental
and physical fatigue

Mako Total Hip may reduce physical and mental demand for a surgeon that may lead to an improved surgical experience, especially while reaming, when compared to manual total hip arthroplasty.4,5

Reduced
dislocation rate 

Studies have shown dislocation rates in Mako Total Hip are significantly reduced compared to manual patients.7,8

Accurate restoration
of center of rotation

Center of rotation of the hip is more consistently replicated using Mako Total Hip compared to manual surgery.11

Decreased length
of stay 

Mako Total Hip demonstrated a decreased length of stay compared to manual surgery.15

Reduced
costs

Mako Total Hip showed a reduced utilization of post index rehabilitation services such as skilled nursing home, health aid and impatient rehab.16

Mako Total Hip showed a reduced 90-day EOC costs compared to manual THA.16 Mako Total Hip showed reduced cumulative cost compared to manual THA for Medicare and private payer over 5 years.17

Implant compatibility

Trident II
Trident Hemispherical PSL
Trident Tritanium

Insignia  Accolade II, Secur-Fit Advanced, Exeter

Pictured from left to right:
Insignia, Accolade II, Secur-Fit Advanced, Exeter

Modular Dual Mobility (MDM)

Restoration Anatomic Shell

Restoration Anatomic Shell (RAS)

Restoration Modular

restoration augment

Restoration Acetabular Wedge Augments

Mako Total Hip with Advanced Primary and Revision has been transformative in my approach for revision hip arthroplasty. Planning Restoration Modular and acetabular augments has improved my efficiency in these difficult cases. This is the future of hip revisions; it has made my complex revisions much simpler!

 

Andrew Wassef, M.D.

Long Beach, CA

 

Dr. Wassef is a paid consultant of Stryker Orthopaedics. The opinions expressed by Dr. Wassef are those of Dr. Wassef and not necessarily those of Stryker. Individual experiences may vary.

Your next step in learning with Stryker starts here.

STA Screens

Visit Stryker’s Training Academy, your on-demand digital platform, to explore a comprehensive library of easily accessible and searchable educational content on Stryker products and technologies.

  • Available to U.S. healthcare professionals with an NPI

JR-OTH-SYK-2191506

See Mako SmartRobotics™ in action!

This contact form is intended for healthcare professionals. If you’re a patient looking to contact us, please click here.

Thank you!